Як розвивається туберкульоз

Туберкульоз є одним з найпоширеніших у світі захворювань людини і тварин. Захворювання має соціальне забарвлення. Неповноцінне харчування, злидні, алкоголізм, перебування в місцях позбавлення волі, незадовільні умови життя головні причини туберкульозу.

Розвиток туберкульозу в організмі людини має дуже складні механізми. Одного разу потрапивши в організм людини, туберкульозні палички вже ніколи не покидають його.  Збудники туберкульозу потрапляють в організм людини ще в дитинстві і в подальшому ця зустріч завжди закінчується нанесенням шкоди його цілісності. Інфікування туберкульозними паличками дітей першого року життя завжди закінчується захворюванням.

Протистоїть захворювання імунітет. Під впливом сильного імунітету (в даному випадку особливих клітин Т-лімфоцитів) і / або хіміотерапії мікобактерії перетворюються в L-форму і роками співіснують з організмом людини, не викликаючи захворювання.

Збудники туберкульозу мають складний метаболізмом, що забезпечує їх мінливість і високу стійкість у зовнішньому середовищі і живому організмі.

Туберкульоз цілком залежить від чинників навколишнього середовища, має спадкову схильність і завжди клінічно реалізується .

туберкулез кожи у ребенка

Рис. 1. На фото туберкульоз шкіри у дитини.

Епідеміологія туберкульозу

Очевидно, що причина туберкульозу це туберкульозні палички. Однак, патогенез захворювання настільки складний, що неможливо відразу однозначно відповісти на питання першопричини цього складного інфекційного процесу .

У дорослих в 90% випадків причиною туберкульозу ставати ендогенна реинфекция (зі старих вогнищ первинного туберкульозу) і в 10% випадків причиною є отримання великої маси збудників від хворого людина або тварини.

Туберкульозу протистоїть природна резистентність організму (стійкість до інфекційних агентів). Резистентність організму — це цілий ряд імунологічних неспецифічних реакцій розпізнавання і придушення розмноження паразитів, бактерій, вірусів, клітин і ін.

Імунітет стимулюється шляхом введення вакцини . Протитуберкульозна вакцина в РФ застосовується дітям при народженні і в 7 років. Вірогідність захворювання нещеплених дитини або щепленого неякісно зростає багаторазово.

Сприяє зниженню імунітету такі фактори, як недоїдання (білкове голодування), супутні захворювання (хр. Алкоголізм, цукровий діабет, захворювання шлунково-кишкового тракту), психічні травми, тривале лікування глюкокортикоїдами, похилий вік і т. д.

При хорошому рівні імунітету збудники туберкульозу, які потрапили в організм людини, не розмножуються. Вони перетворюються в L-форми і тривало зберігаються в організмі людини, не викликаючи розвитку хвороби.

до змісту ^

Початок розвитку туберкульозного процесу

Макрофаги першими починають боротьбу з туберкульозними паличками. Вони заковтують бактерії і намагаються їх знищити (розрізати навпіл). Але не в силах впоратися з інфекцією, масово гинуть. МБТ виходять в навколишні тканини. В міжклітинний простір надходять медіатори запалення і протеолітичніферменти , які пошкоджують тканини. У роботу включаються Т-лімфоцити (клітини імунної системи). Але вони ще не зрілі і не навчені. Саме Т-лімфоцити винні в утворенні великої кількості некротичних тканин.

Пошкоджені тканини стають гарним живильним середовищем для зростання бактерій. Через розширені капіляри в місця пошкодження спрямовуються клітини, які беруть участь в утворенні туберкульозних гранульом. Зливаючись, туберкульозні гранульоми збільшують обсяг поразки. У центрі вогнища туберкульозного запалення відзначається загибель ураженої ділянки тканини.

макрофаг

Рис. 5. На фото макрофаг, що мешкає в легеневих альвеолах.

бактерия поглощена макрофагом

Рис. 6. На фото зліва бактерія (коричневий колір) поглинена макрофагом (світло блакитний колір). На фото зліва праворуч макрофаги поглинають бактерії. Червоним кольором виділені лізосоми макрофагів з ферментами.





до змісту ^

Морфологічні компоненти туберкульозного запалення

На туберкульозне ураження, зумовлене впливом МБТ і їх токсинів, організм відповідає туберкульозним запаленням , функціональними елементами якого є:

  • Пошкодження (альтерація). Казеозно-некротичний компонент.
  • Реакція ексудації (ексудативний компонент).
  • Реакції проліферації (скупчення клітин певного виду).

Всі три компоненти складають туберкульозну гранулему (туберкульозний горбик — tuberculum). Його назва латинською мовою покладено в основу назви захворювання «Туберкульоз».

туберкулезные бугорки

Рис . 7. На малюнку видно множинні туберкульозні горбки (препарат печінки).

Ексудативний компонент

Ексудативний компонент виникає за рахунок виходу з судин клітинних елементів: макрофагів, нейтрофілів, еозинофілів. А також фібрину. Залежить від ступеня індивідуальної реактивності організму і його алергічної чутливості.

Проліферація

Проліферація (розростання тканини за рахунок клітинних елементів) відбувається за рахунок лімфоїдних, епітеліоїдних і клітин пирогова-Лангханса. Проліферація особливо виражена у хворих з стійкою реактивністю організму і говорить про наростання імунітету.

Перші два компоненти неспецифічні для туберкульозу і виникають при безлічі інших гранулематозних захворюваннях, чисельність яких сягає 100 нозологічних одиниць.

Казеозно-некротичний компонент

Під впливом нейтрофілів і Т-лімфоцитів туберкульозні палички починають перероджуватися, а навколишні тканини гинути. Оскільки протеолітичних ферментів мало, то виникає сирнистий некроз (мертва тканина при туберкульозі виглядає як м'яка біла сирнистий маса).

Казеозно-некротичний компонент притаманний тільки туберкульозу та завжди присутній, незалежно від локалізації і фази процесу.

схема туберкулезной гранулемы

Рис. 8. Схема туберкульозної гранульоми.

клетки Пирогова - Лангерганса

Рис. 9. На фото видно дві великі клітини Пирогова Лангерганса на тлі макрофагів, трансформованих в епітеліоїдних клітини.

до змісту ^

Вплив масивності збудників на розвиток туберкульозу

Розвиток туберкульозу відбувається при наявності певної кількості збудників (масивність зараження) :

  • для освіти туберкульозного горбика необхідно 10 МБТ;
  • для розвитку інфільтрату необхідно 1 млн. туберкульозних паличок;
  • при утворенні порожнини розпаду число МБТ досягає 100 млн.

Для довідки: з 1 мікобактерії через 10 діб з'являється 1000. через 20 діб 1 мільйон.

туберкульозі легенів пошкоджена (мертва ) тканину з часом проривається в дренуючих бронх і виходить назовні. Разом з некротичними масами виходить велика кількість МБТ. У цей момент хворий стає особливо небезпечним для оточуючих. Якщо порожнина розпаду добре дренується бронхів, то на тлі адекватного лікування вона швидко закривається (рубцуется). На її місці утворюється фіброз (рубець).

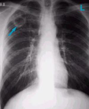
тонкостенная полость распада

Рис. 11. На рентгенограмі у верхній частці правої легені тонкостінна порожнину розпаду.

При неадекватному лікуванні більш легкі форми туберкульозу трансформуються в більш важкі. Розвивається фіброз не дає зарубцюватися порожнинах розпаду. Стінка порожнини розпаду ставати щільною. Так трансформується вихідна форма туберкульозу в більш важку, аж до фіброзно-кавернозного туберкульозу.

фиброзные изменения окружающей ткани и плевры

Рис. 12. На рентгенограмі видно кілька великих каверн з фіброзними стінками. Різко виражені фіброзні зміни навколишнього тканини і плеври.

Протягом захворювання туберкульозна інфекція поширюється по бронхах, лімфатичних шляхах і крові, викликаючи специфічне ураження в інших органах і системах.

Рентгенологічна картина досить строката і складна. Добре проглядається бронхогенная диссеминация (поширення), коли разом з розплавленими казеозними масами величезна кількість МБТ переміщається в нижні відділи легень з верхніх. Так туберкульозний процес переходить з фази інфільтрації і розпаду в більш важку фазу обсіменіння . Відбувається спалах інфекційного процесу.

развитие туберкулеза

Рис. 13. Розвиток туберкульозу - від одиничного туберкульозного вогнища в верхній частці правої легені до поразки всього правої легені: множинні порожнини розпаду у верхній частці, осередки відсіву, фіброз.

туберкулезные бактерии разрушают ткань легких

Рис. 14. Туберкульозні бактерії руйнують тканину легенів, утворюючи в її товщі каверни - порожнечі химерної форми. Вони добре помітні на рентгенівських знімках у вигляді темних плям, що зробило цей метод обстеження найважливішим діагностичним засобом фтизіатрії.

Добавить комментарий

Ваш адрес email не будет опубликован. Обязательные поля помечены *