Метастази в головний мозок

Злоякісні пухлини — це одні з найбільш небезпечних і непередбачуваних захворювань. Рано чи пізно, особливо при ослабленому імунітеті і супутніх хворобах, вони поширюються з кровотоком і лімфою у внутрішні органи людини. Перенесені уражені клітини дають початок новим пухлин, який отримав назву «метастази». Найбільш схильні до появи метастазів легкі, кісткові тканини, печінку і головний мозок.

Джерела

Рак легенів і молочних залоз найбільш часто дає наслідки у вигляді розвитку метастазів в головний мозок. У 30% хворих, що мають онкологію цих локалізацій, згодом виявляються нові пухлини.

У головному мозку пухлинні клітини осідають згідно інтенсивності мозкового кровотоку, тобто на кордоні між сірим і білою речовиною, на стику басейнів середньої і задньої мозкових артерій . Там і починають рости нові осередки пухлин.

Рідко, але можливо проростання в тканину мозку пухлин черепних кісток, в зв'язку з тим, що тверда мозкова оболонка — це досить щільний бар'єр, вона насилу переборна для пухлин голови та шиї.

Також метастазировать в головний мозок можуть і злоякісні пухлини шкірного покриву — меланоми. Найбільш схильні до виникнення і метастазування меланом люди, які мають велику кількість родимок, родимих ​​плям, а також веснянок на тілі.

Симптоми

Симптоми, характерні для метастазів в мозок, залежать від місця ураження, розмірів пухлини і набряку мозкової тканини навколо неї. До основних ознак розвитку метастазів можна віднести наступні явища:

Метастази в головний мозок

  • Зміни відчуття тіла, що супроводжуються порушенням координації.
  • Зміни емоційного фону, досить швидкі і часті.
  • Сильна або тривалий головний біль, яка може супроводжуватися лихоманкою.
  • Порушення пам'яті .
  • Зміна особистості.
  • летаргічного стану.
  • Різні розміри зіниць очей .
  • Мовні дефекти.
  • Загальна слабкість організму.

при ураженні лобової частини мозку у хворого може спостерігатися так звана лобова психіка, яка характеризується різкою зміною поведінки в гіршу сторону, як правило, воно стає різким і грубим. Людина починає вживати в лексиці нецензурну лайку, безпричинно чіплятися до оточуючих. У хворого може спостерігатися порушення зорової функції і роботи опорно-рухового апарату.

Крім того, метастаз може локалізуватися в "німий зоні", тобто далеко від важливих областей, що відповідають за що-небудь. Тоді симптоми почнуть проявлятися тільки при досягненні пухлиною великих розмірів.

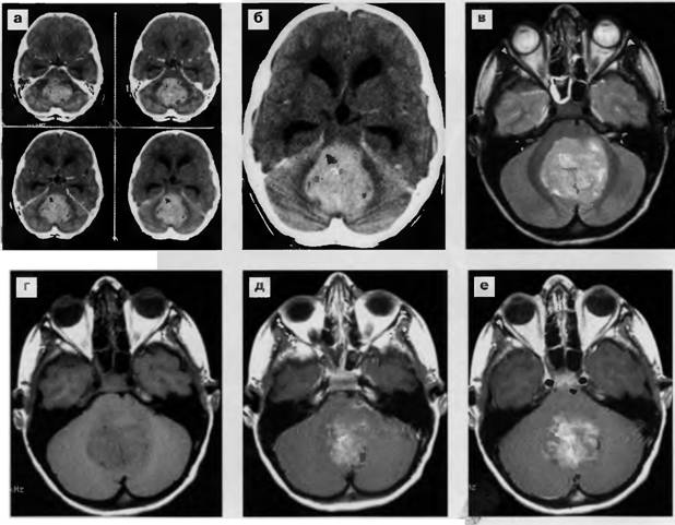
Діагностика

Правильна і своєчасна діагностика дозволяє провести адекватне лікування, тим самим збільшивши шанси пацієнта на одужання. Для виявлення метастазів в головному мозку використовують такі методи, як:

Метастази в головний мозок

  • Комп'ютерна томографія . Даний рентгенологічний метод дослідження дозволяє отримати пошарове картину тканин і органів. Обов'язково використовувати контрастне посилення при проведенні томографії.
  • Магнітно-резонансна томографія . Даний метод застосовується найчастіше, так як має високу точність і чіткість одержуваного зображення. І, крім того, пацієнт не піддається дії випромінювання.

Лікування

Метастази, як і самі злоякісні пухлини, за рідкісними винятками невиліковні. Навіть після радикального хірургічного видалення вогнища можуть з'являтися знову і знову. Мета лікування полягає в поліпшенні стану хворого, полегшення страждань і продовження життя.

В ході консервативного лікування використовують загальну терапію, що включає в себе прийом глюкокортикоїдів. Глюкокортикоїди значно послаблюють симптоми метастазів головного мозку. При цьому поліпшення самопочуття може бути досить різким і спостерігатися вже через 6-24 години.

При виникненні епілептичних припадків хворому можуть бути призначені протисудомні засоби.

Поряд з прийомом медикаментів пацієнтові призначають променеву терапію. Вона є основним методом лікування метастазів, так як не завжди є можливість видалити пухлини, розташовані глибоко в мозку.

Високоефективним може виявитися лікування шляхом хіміотерапії і гормонотерапії.

У 40% хворих виявляють лише одне об'ємне освіту в черепі, такі метастази підлягають видаленню шляхом хірургічного втручання. Також видалення може бути вироблено із застосуванням нового виду лікування — кібер-ножа. Даний вид лікування є ефективним і безкровним.

На відео — навчальна програма для пацієнтів про операції з використанням кібер-ножа:

Прогноз

Прогноз життя для хворих, що мають метастази в головному мозку, як правило, є невтішним. У більшості випадків спостерігається летальний результат. П'ятирічна виживаність таких хворих є вкрай низькою. Однак незважаючи на цифри і негативну статистику, необхідно продовжувати боротися за своє життя.

Добавить комментарий

Ваш адрес email не будет опубликован. Обязательные поля помечены *