Хронічний тонзиліт формується в результаті рецидивного перебігу ангін із залученням до процесу піднебінних мигдалин і розвитком в більшості випадків токсико-алергічних реакцій. Симптоми хронічного тонзиліту мають різну ступінь вираженості.
На перших етапах розвитку хронічного тонзиліту в період загострень показано медикаментозне лікування. Якщо гній і гнійні пробки продовжують залишатися в лакунах після кількох курсів лікування, то показана тонзилектомія. Адекватне лікування хронічного тонзиліту дозволить назавжди забути про хворобу.
Причини захворювання
Хронічний тонзиліт має дві форми:
- Проста форма
- Токсико-алергічна форма (двох ступенів)
Повторюваність ангін
Ангіни повторюються до 3-х разів на рік. Рідше до 6 разів на рік. Наявність гною в лакунах мигдалин є достовірною ознакою ангіни, навіть якщо вона протікає безсимптомно. Безсимптомний перебіг ангін зустрічається в 4% випадків.
Порушення функцій інших органів
Супутні захворювання та ангіни обтяжують перебіг один одного. У хворих, які страждають на гіпертиреоз, цукровий діабет, туберкульоз, захворювання шлунково-кишкового тракту та ін. Ангіни протікають важко і з ускладненнями.
Ознаки хронічного тонзиліту
Часті
- Зрощення передніх і задніх дужок з миндалиной.
- Набряк області верхнього кута, утвореного дужками (ознака Зака).
- Гіперплазія верхніх країв дужок (ознака Б. С. Преображенського).
- Гіперемія передніх дужок (ознака Гізі).
Кожен з вище перерахованих ознак може мати різну ступінь вираженості і часто супроводжує хронічний фарингіт.
Величина мигдалин
Величина мигдалин залежить від конституційних особливостей людини, є варіантом розвитку органу або є проявом алергічного стану. Збільшені (гіперплазовані) мигдалини сприяють і підтримують запальний процес. Поверхня мигдаликів може бути пухкої або з гладкою.
Вміст лакун і крипт мигдаликів
При хронічному тонзиліті накопичився гній в лакунах може бути рідким або густим. При огляді відзначається наявність гнійних пробок в лакунах. Гній в лакунах є причиною неприємного гнильного запаху з рота, що є важливою ознакою хронічного тонзиліту.
Стан регіонарних лімфатичних вузлів
Збільшення шийних і підщелепних лімфовузлів важлива ознака хронічного тонзиліту. Особливу важливість цей ознака набуває при відсутності запалення в інших місцях області голови.
Наявність гною в лакунах і повторюваність ангін протягом року є достовірними ознаками хронічного тонзиліту, які самі по собі мають великою вірогідністю.

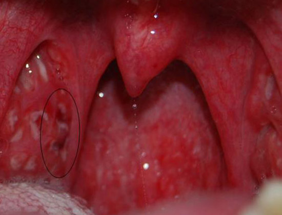
Рис. 2. На фото хронічний тонзиліт. У наявності основні ознаки захворювання, в лакунах видно гній і гнійні пробки.
Симптоми хронічного тонзиліту. Проста форма
Кожен з вище перерахованих ознак може мати різну ступінь вираженості і часто фіксуються при хронічному тонзиліті. Функція інших органів не порушена. Симптоми інтоксикації відсутні. Лікування консервативне. Якщо гній в лакунах в результаті проведених кількох курсів лікування зберігається, то показана тонзилектомія.
Симптоми хронічного тонзиліту. Токсико-алергічна форма

Рис. 3. На фото хронічний тонзиліт. Видно гній і гнійні пробки в лакунах. Мигдалина справа збільшена.
Інфекційно-алергічний фон, який створюється в результаті частих загострень хронічного тонзиліту, є пусковим механізмом розвитку супутніх захворювань: паратонзілліта і парафарінгіта і ревматизму.
На впровадження стрептококів організм людини відповідає виробленням антитіл, завдяки яким відбувається їх знищення. Але найчастіше антитіла починають атакувати подібні зі стрептококом структури, якими є сполучна тканина серця і суглобів, в результаті чого розвиваються серцеві вади і артрити. До того ж ферменти стрептокока самі по собі мають кардіотоксичної дії.
Токсико-алергічна форма I
Токсико-алергічна форма I характеризується субфебрильною температурою тіла, підвищеною стомлюваністю, слабкістю, болями в серці і суглобах , тахікардією. Поза загострень все симптоми відсутні. Зміни на ЕКГ носять тимчасовий характер. Місцеві пов'язані захворювання проявляються у вигляді паратонзілліта і парафарінгіта.
Токсико-алергічна форма II
При токсико-алергічної формі II субфебрилітет і болю в області серця і суглобів турбують хворого навіть поза періодом загострення. Лабораторна діагностика підтверджує ураження нирок, печінки, серця і судинної системи.
Місцеві пов'язані захворювання проявляються у вигляді паратонзілліта і парафарінгіта. Парні захворювання загального типу проявляються у вигляді ревматизму, нефриту, ендокардиту і тонзіллогенной сепсису захворювань, що мають загальну інфекційно алергічну природу.

Рис. 4. На фото хронічний тонзиліт. Мигдалина зліва значно збільшена в розмірах. Видно гній і гнійні пробки в лакунах. У наявності основні ознаки захворювання.
Ускладнення хронічного тонзиліту
1. Загальні ускладнення
Особливість стрептококової інфекції викликати аутоімунний відповідь, призводить до виникнення серйозних ускладнень внутрішніх органів:
- ревматичне ураження серцевого м'яза;
- ураження суглобів (артрити) ;
- ураження нирок (гломеруло- і пієлонефрити).
При виході мікробів в кров'яне русло і їх масивному розмноженні може виникнути сепсис і менінгіт.
2. Місцеві ускладнення
- Отит;
- ларингіт;
- набряк гортані;
- паратонзіллярний абсцес;
- мастоидит;
- абсцес і флегмона клітковини.
ангіна флегмонозная
Флегмонозна ангіна розвивається у осіб з хронічним тонзилітом. Спочатку розвивається лакунарная ангіна. У лакунах утворюється гній і гнійні пробки. Далі запальний процес переходить на лімфоїдну тканину мигдалини і в околоміндальную клітковину. Осередок запалення в околоміндальной клітковині зміщує мигдалину в протилежну сторону. На тлі різкої гіперемії відзначається значний набряк м'якого піднебіння. З'являється гнильний запах з рота. Лімфовузли збільшені і різко болючі.

Рис. 5. На фото поєднання флегмонозной і фіброзної ангіни. Осередок запалення в околоміндальной клітковині зміщує мигдалину в протилежну сторону. На тлі різкої гіперемії відзначається значний набряк м'якого піднебіння. Єдина білувата плівка захоплює мигдалину і виходить за її межі.
паратонзілліта
Одним з місцевих ускладнень ангіни є паратонзиллит. Запалення розвивається в околоміндальной клітковині з утворенням набряку (5% випадків), інфільтрату (20% випадків) або абсцесу (75% випадків). Паратонзиллит має різну локалізацію, але найчастіше локалізується в області верхнього полюса, де немає капсули, а тканину мигдалини пухка. Запальний осередок локалізується з одного боку. Його розвиток супроводжується інтенсивної, болісної болем.
Абсцеси
При ускладненому перебігу ангіни в паратонзілярярной зоні може сформуватися абсцес. Дуже швидко слизова над ним стоншується і відбувається розтин. Зазвичай абсцес розкривають хірургічним шляхом. Стан хворого після розтину швидко нормалізується.

Рис. 6. Паратонзіллярний абсцес. На малюнку бачимо шаровидне освіту, яке зміщує піднебінні дужки і м'яке піднебіння в протилежну сторону.
паратонзиллит, флегмона, і абсцес є послідовно змінюють один одного етапами розвитку гнійного запалення клітковини мигдалин.
Як вилікувати хронічний тонзиліт: консервативне і хірургічне лікування
Консервативне лікування хронічного тонзиліту
На перших етапах розвитку хронічного тонзиліту в період загострень показано медикаментозне лікування. Якщо гній і гнійні пробки продовжують залишатися в лакунах після кількох курсів лікування, то показана тонзилектомія.
При діагностуванні у хворого токсико-алергічної форми II хронічного тонзиліту показана термінова тонзилектомії.
Методика видалення гною і гнійних пробок з лакун і крипт мигдаликів ручним способом (промивання лакун) і з застосуванням апаратного методу широко поширена при лікуванні даного захворювання. Ефект досягається чисто механічним шляхом з подальшим відновленням дренирующей функції мигдаликів.
Лікування із застосуванням фізіотерапевтичних процедур займає одне з важливих місць. Серед них провідне місце займає ультрафіолетове опромінення, дія високочастотним електромагнітним полем УВЧ (СВЧ), методика застосування ультразвукових аерозолів, лікувальних грязей та озокериту.
Важливим компонентом медикаментозного лікування є підвищення імунітету. Вітамінотерапія, застосування біостимуляторів і імунокоректорів стимулюють відновлення імунного статусу хворого.
Докладно про лікування хронічного тонзиліту читай в статтях:
Видалення мигдалин хірургічним методом
видалення мигдалин традиційним методом
Хронічний тонзиліт і часті ангіни в анамнезі є приводом для хірургічного видалення мигдалин. Екстреного хірургічного лікування підлягає ускладнений паратонзиллит і тонзилогенний сепсис. Арсенал сучасної медицини багатий багатьма методиками видалення мигдалин. Часто застосовується методика висічення ножицями і дротяною петлею. Видалення мигдалин з капсулою основне завдання хірурга.
Застосування хірургічних методів лікування дозволяє видалити гнійний осередок, забезпечити швидке одужання, виключити рецидиви хвороби і попередити важкі ускладнення.
Протипоказаннями до операції є виражена серцева недостатність, важкий цукровий діабет, хвороби нирок з розвиненої недостатністю функції органу, захворювання системи кровотворення і активний туберкульоз. У період підготовки до операції проводиться ряд лабораторних досліджень та санація порожнини рота.
Оперативне втручання проводиться тільки в стадії ремісії супутніх захворювань.

Рис. 7. Схема видалення мигдалин.
- Перед операцією проводиться медикаментозна підготовка, метою якої є пригнічення рівня тривоги хворого, роботи секретуючих залоз і посилення дії анестетиків. Лікарська суміш містить наркотичний анальгетик, атропін і антигістамінний препарат.
- Місцева анестезія включає пульверизацію ротоглотки лідокаїном і інфільтраційну анестезію анестетиками (новокаїн, тримекаин, лідокаїн).
- Місця введення анестетиків і хід операції показані на рис. 8а.
- Етапи операції показані на рис. 8б-д.
- Після операції хворий укладається в ліжко. Область шиї поперемінно охолоджується міхуром з льодом. Що виділяється слина збирається в пелюшку, а не проковтує. Для зменшення болю показано призначення наркотичних анальгетиків.
- Постільний режим призначається на 2 дня.
- Через два дні показано легке полоскання з антисептиками.
- При тонзилектомії у хворих з ускладненим перебігом захворювання показано проведення після операції курсу противоревматического лікування.

Рис. 8. На малюнку показані місця, куди вводиться анестетик і етапи операції.
Екстрене оперативне втручання
Екстрене оперативне втручання проводиться при ускладненнях ангіни паратонзілліта в стадії абсцедування, неефективності попередніх розтинів, сепсисі, парафарингит, флегмони шиї та ін. При паратонзиллит абсцес або розкривають, або виробляють його видалення разом з миндалиной. У всіх інших випадках проводиться тільки повне видалення мигдалини разом з абсцесом.
Видалення лазером популярна методика тонзилектомії
Операції на мигдалинах із застосуванням лазерної установки діляться на радикальні і операції з видалення частини органа, що дозволяє лікарю вибрати оптимальний спосіб лікування хронічного тонзиліту.
- Радикальна тонзилектомії передбачає повне видалення органу.
- Абляція передбачає видалення частини органу.
Існує кілька видів лазера. Їх вибір для проведення операції залежить від стану тканини мигдаликів, ступеня поширеності запального процесу і кінцевої лікарської мети.
Існують такі різновиди лазерного променя:
- Волоконно-оптичний
- гольміевий
- Інфрачервоний
- Вуглецевий
видалення лазером мигдалин із застосуванням інфрачервоного променя
Технологія застосування видалення лазером мигдалин із застосуванням інфрачервоного променя дозволяє різати і з'єднувати тканини мигдалини. У навколишніх тканинах температура підвищується незначно на 2 3 градуси.
Переваги застосування лазера при тонзилектомії:
- Тривалість хірургічного втручання зведена до мінімуму і становить близько півгодини.
- Коагуляція кровоносних судин робить операцію безкровною.
- Больові відчуття після операції менш виражені.
- Післяопераційний набряк тканин відсутня.
- відсутній ризик поширення інфекції на навколишні тканини.
- Процес відновлення скорочений до 4-х днів.
- Ускладнення в післяопераційний період було зведено до мінімуму.
- Швидке відновлення працездатності.
Діти до 5-и років до операції з видалення лазером мигдалин не допускаються.

Рис. 9. Схема видалення лазером мигдалин (радикальна тонзилектомії). Операція проводиться під місцевою анестезією. Мигдалина захоплюється щипцями і відшаровується від підлеглих тканин променем лазера, який випускається апаратом зі спеціальною насадкою. Коагуляція кровоносних судин робить операцію безкровною.

Рис. 10. На фото хронічний тонзиліт. Видно гіпертрофована мигдалина зліва.

Рис. 11. На фото видалення лазером мигдалини. Видно ніша після безкровного видалення лазером мигдалини зліва.
Лазерна абляція
Лазерна абляція це видалення лазером поверхневого шару мигдалини. В результаті застосування такої процедури розширюються лакуни і згладжуються краю, що сприяє відновленню їх дренирующей функції. Лазерний промінь «випаровує» тканину мигдалини.
Видалення лазером поверхневого шару мигдалини (абляція) не гарантує повного лікування хронічного тонзиліту.

Рис. 12. Схематичне зображення процесу лазерної абляції. Лазерний промінь «випаровує» тканину мигдалини.

Рис. 13. На фото видалення лазером поверхневого шару мигдалини (абляція).
Правильне лікування хронічного тонзиліту дозволить назавжди забути про хворобу.